Why Atopobium Vaginae Could Be Destroying Your Wellbeing Before Your Eyes

Why Atopobium Vaginae Could Be Destroying Your Wellbeing Before Your Eyes

They Never Saw It Coming—This Service Changes Everything for Young Workers

YMovie’s Latest Release Breaks Every Rule You Thought Was Solid

Unlock the Yukon XL Mystery—True Potential Unleashed Tonight!

Atopobium vaginae - Alchetron, The Free Social Encyclopedia
Atopobium vaginae - Alchetron, The Free Social Encyclopedia
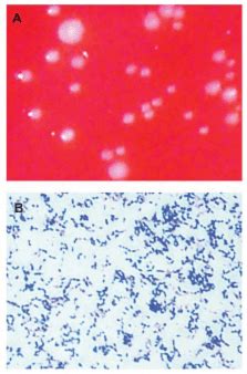
The presence of Atopobium vaginae in patients before the treatment and ...
The presence of Atopobium vaginae in patients before the treatment and ...
The presence of Atopobium vaginae in patients before the treatment and ...
The presence of Atopobium vaginae in patients before the treatment and ...